Menu Principal:
El doppler obstétrico consiste en analizar ciertos parámetros de la circulación del bebe. Es un estudio de alta complejidad que sirve para valorar subjetivamente ciertas alteraciones del embarazo. Si bien su utilización es cada mes más amplia, existen ciertas circunstancias en las que el estudio ha demostrado un beneficio y correlación con la salud fetal clínicamente significativa.
Es de mucha utilidad en la evaluación del retardo de crecimiento intrauterino. Eso es cuando el bebe no está creciendo bien y su peso y sus medidas se encuentran por debajo de lo esperado para ese momento del embarazo. En estos casos el doppler nos ayuda a comprender el compromiso fetal de dicha patología y colabora para que el obstetra pueda decidir mejor la conducta a seguir.
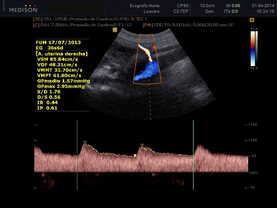
También por medio del estudio de la circulación materna (arterias uterinas) sirve para evaluar el riesgo de padecer enfermedades hipertensivas durante el embarazo.
Otra situación donde el doppler ha demostrado ser muy efectivo es en aquellas patologías que causan anemia fetal, el análisis de la velocidad del flujo a nivel de la arteria cerebral media del feto nos da una idea de la gravedad de la anemia fetal, lo que contribuye a decidir el mejor tratamiento.



